Full Mouth / Arch Rehabilitation

Full mouth or arch rehabilitation is a comprehensive dental treatment designed to restore the function, appearance, and health of your entire mouth. Whether due to severe tooth decay, trauma, aging, or genetic factors, when multiple dental issues affect the entire mouth, a full mouth rehabilitation can bring back the smile you deserve.

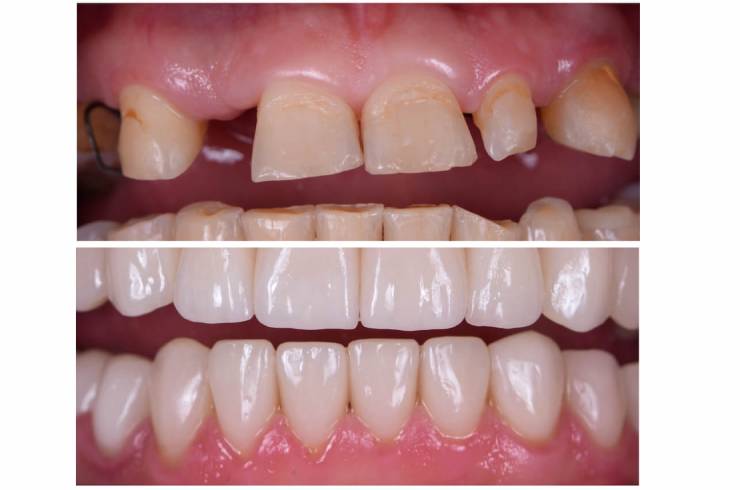
What is Full Mouth Rehabilitation?

Full mouth rehabilitation refers to the process of rebuilding or restoring all of the teeth in a patient’s upper and lower jaws. This approach is customized to address issues such as missing teeth, damaged teeth, misalignment, gum disease, and bite problems. The goal is to restore both the aesthetic appearance and functionality of the teeth, gums, and jaw.

Who Needs Full Mouth Rehabilitation?

You might need full mouth rehabilitation if:

  • You have several missing or severely damaged teeth.
  • You suffer from chronic dental pain or discomfort.
  • You experience difficulty chewing or speaking due to missing or damaged teeth.
  • You have a bite problem (malocclusion) that affects your daily activities.

This treatment is especially beneficial for those whose dental issues affect their overall quality of life, including pain while eating, difficulty with speech, or lack of confidence due to poor dental aesthetics.

Key Components of Full Mouth Rehabilitation

The process involves several dental treatments, depending on the patient’s unique needs:

  • Dental Implants: For replacing missing teeth with artificial teeth that look and function like natural ones.
  • Crowns and Bridges: To restore broken or damaged teeth, giving them strength and a natural appearance.
  • Dentures: Used for replacing multiple missing teeth when implants are not an option.
  • Root Canal Treatments: For saving teeth that have severe decay or infection.
  • Orthodontics (Braces or Aligners): To correct misalignment or bite issues for a proper and comfortable fit.
  • Gum Therapy: To address gum disease and improve the health of the gums.
  • Occlusal Adjustment: To ensure the bite is balanced, which can prevent future issues like teeth grinding or jaw pain.
The Full Mouth Rehabilitation Process
  • Consultation and Evaluation: The first step is a thorough dental exam, including X-rays and impressions of your teeth. This helps the dentist assess the condition of your mouth and develop a customized treatment plan.
  • Treatment Plan: Based on your specific needs, your dentist will recommend a treatment plan, which may include one or more of the procedures mentioned above.
  • Restoration: The rehabilitation process may take several months, with treatments such as implants, crowns, or orthodontics, depending on the complexity of your case.
  • Final Adjustments: After all procedures are completed, the dentist ensures that your teeth align properly, and your bite feels natural and comfortable.
Why Choose Full Mouth Rehabilitation?
  • Improved Function: Full mouth rehabilitation restores the ability to chew, speak, and bite properly, improving overall dental function.
  • Enhanced Aesthetics: By addressing cosmetic issues, you can achieve a beautiful smile, boosting your self-confidence.
  • Long-Term Health: By treating underlying dental issues, full mouth rehabilitation helps prevent further oral health problems in the future.
  • Customized Treatment: Each treatment plan is tailored specifically to the patient’s needs, ensuring optimal results.